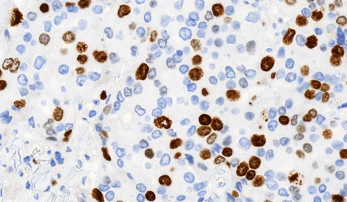
The Swiss army knife of 3DHISTECH’s image analysis tools, CellQuant is a versatile cell detection application, an optimal solution for investigating various IHC stainings (best suited for Ki67 slides).
CellQuant
CellQuant
The Swiss army knife of 3DHISTECH’s image analysis tools, CellQuant is a versatile cell detection application, an optimal solution for investigating various IHC stainings (best suited for Ki67 slides).
CellQuant Module in QuantCenter
A special IHC color calibration option is integrated into these quantification modules, facilitating software integration to the local laboratory. By applying this function the software can be calibrated to the sample quality (local laboratory stain protocol, or different stainer), resulting in an adequate measurement.
The Swiss army knife of 3DHISTECH’s image analysis tools, CellQuant is a versatile cell detection application, an optimal solution for investigating various IHC stainings (best suited for Ki67 slides). The application is adequate for cell nuclei, cytoplasmic and membrane marker quantification. The software reports the results like positivity ranges of cell nuclei, cytoplasm or membrane signals. This module can analyze fluorescent and brightfield slides.

